TLF. CONSULTAS : 945 330 100 E-MAIL/CONTACTO DRAHOLGADO@TRAUMACTUAL.COM
 TLF. CONSULTAS : 945 330 100E-MAIL/CONTACTODRAHOLGADO@TRAUMACTUAL.COM

LAS FRACTURAS DE RADIO PLANTEAN UN  RETO PARA EL CIRUJANO ORTOPÉDICO

 

 

 

Existe desde hace más de 100 años un método conservador descrito por Colles que durante tantos años fue aceptado como patrón de tratamiento. Ya ha cambiado la forma de reducción e inmovilización y para dar solución a las fracturas más inestables de forma quirúrgica.

 

 

 

 

 

CONTRAINDICACIONES QUIRURGICAS 

 

  • PACIENTES MUY ANCIANOS
  • INANCTIVIDAD MANUAL
  • ENFERMEDADES ASOCIADAS A LA OSTEOGENESIS O ESTADO GENERAL DEL PACIENTE
  • ESTADOS PREVIOS DEGENERATIVOS DEFORMANTES ARTICULARES

 

 

 

                            CRITERIOS QUIRURGICOS   

 

 

 

           

                          TECNICAS QUIRURGICAS

 

 

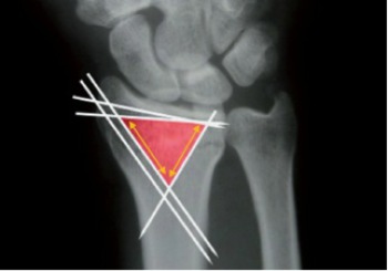
Los pacientes con fracturas tipo A2, B1 y C1, con agujas de Kirschner (AK) de 1,8 mm de diámetro

 

Las fracturas extraarticulares, sin gran conminución metafisaria  y fracturas intraarticulares simples con buena reserva ósea. Muy malos resultados en fracturas muy conminutas o aquellas con fragmentos volares 

 

 

Se realiza la fijación interna con más frecuencia en las fracturas tipo B2 y B3, en las que se utilizan láminas o tornillos AO.

En los últimos años, la auténtica revolución ha sido

    la introducción de  las placas volares de ángulo fijo, con unos diseños adaptados a la morfología volar del radio distal. 

 

Versión para imprimir | Mapa del sitio
© traumactual / TLF CONTACTO 954330100 / EMAIL : draholgado@traumactual.com